ProImage

Home | Team | Objectives | Results | Emulation Software

Home

Team

Objectives

Results

Emulation Software


 

 

 

 

 

 

 

 

 

 

 

 

 

 

 


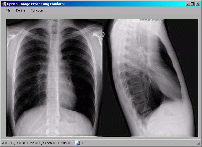
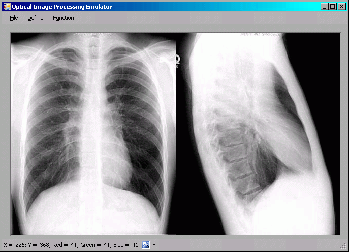
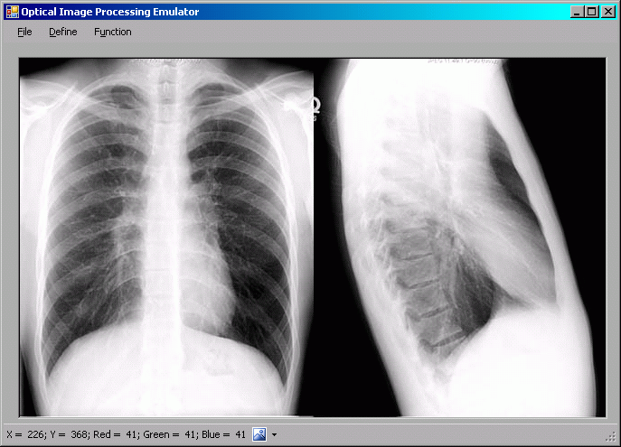
Grey level variation (application in medicine):

 

Original image Processed image (a voltage of 900 V applied on the electrodes)
Observations:
- vascular system better seen in the processed image (enhancement of soft tissue imaging)
- the original image was “mistified” by the image owners (see the bottom part of the
processed image showing the regions where they acted on the initial image).
- the "mystification” was not observable in the initial image.


 

Original image Processed image (a voltage of 300 V applied on the electrodes)
Observations:
- bones better seen in the processed image, enhancement of hard tissue imaging.